成田キャンパス
血管外科学教室

血管外科学教室

診療概要

当科では血管病に対して従来の外科的アプローチの他にカテーテルを用いた血管内治療の両方を患者さんに応じてバランスよく行っています。
動脈疾患ではおもに大動脈瘤・大動脈解離、閉塞性動脈硬化症などに対して治療を行っています。大動脈瘤に関してはデブランチ手術やなどの外科的治療と血管内治療を合わせたハイブリッド手術から枝付きステントグラフト術など、高難度手術も積極的に行っています。本邦でもこれらの治療ができる施設は限られています。また血管内治療だけではなく従来の外科手術も積極的に行っており、患者さんの全身状態などを鑑みオーダーメイド的な治療を提供しています。
静脈疾患ではおもに下肢静脈瘤や深部静脈不全といった病態に対して治療を行っており、近年では静脈にもステントなどの血管内治療が適応となったことから今後増加してくるものと思われます。

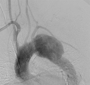
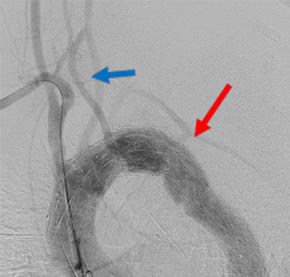
胸部大動脈瘤におけるハイブリッド治療
頸動脈と鎖骨下動脈をバイパス(青矢印)・開窓型ステントグラフトで瘤を空置(赤矢印)

固有肝動脈瘤(赤矢印)に対する開腹血行再建

重症虚血肢に対するハイブリッド治療
腸骨動脈ステント(青矢印)・バイパス術(赤矢印)

傍腎動脈型腹部大動脈瘤に対する枝付きステントグラフト

解離性胸腹部大動脈瘤に対する枝付きステントグラフト

腸骨静脈圧迫症候群に対するステント留置