診療概要
上肢
国際医療福祉大学成田病院上肢グループでは、中山准教授、谷口医師が中心となり、手・肘・肩の疾患を対象に診療を行っています。骨折・靭帯損傷・腱損傷などの外傷一般、末梢神経障害、関節リウマチの外科治療、人工関節手術(手指・肘・肩)、関節鏡手術(手・肘・肩)を特に得意としています。

変性疾患
末梢神経障害(手根管症候群・肘部管症候群・ギオン管症候群)
腱鞘炎(ばね指・ド・ケルバン病)
関節リウマチ(指・手・肘・肩)
変形性関節症(指・手・肘・肩)
手関節不安定症・三角線維軟骨複合体損傷
デュプイトラン拘縮
肩腱板損傷 など
外傷
手指・手関節の骨折(橈骨遠位端骨折、舟状骨骨折、骨性マレット(槌指)、など)
肘周囲骨折(尺骨肘頭骨折、上腕骨遠位端骨折、上腕骨通顆骨折など)
肩周囲骨折(上腕骨近位部骨折など)
腱損傷 (新鮮損傷、陳旧性損傷)
靭帯損傷(新鮮損傷、陳旧性損傷)
神経損傷(新鮮損傷、陳旧性損傷) など
当科での代表的な疾患と手術方法をご紹介致します。
上肢の外傷
外来において最も頻度が高いのが上肢における外傷です。高齢人口の増加に伴い橈骨遠位端骨折や上腕骨近位部骨折は増加傾向にあります。またスポーツによる手指・肘のケガも若年層に多く見られます。外傷は保存的治療を基本としますが、当院の特性上すでに他院で手術加療を要すると診断された上で紹介受診される方が多いです。
①橈骨遠位端骨折粉砕の強い場合、関節内に骨折が及ぶ場合は手術を行います。プレートを用いた整復固定を行いますが、粉砕の強い場合は創外固定や人工骨充填を併用します。
-
手術前 手術後
手指の小さい骨の骨折においては初期治療が極めて重要です。手術が必要かどうかの見極めが時に難しく、専門医のもとを受診され治療方針を決定することをおすすめします。当院では外傷の程度や患者の年齢、社会背景なども考慮し手術も含めた最善の方法を選択しています。手術時に用いる器械は手指に特化した特殊なものを用いて、より正確な整復を心がけています。
③肘の外傷肘の骨折や靭帯損傷はときに治療が困難であり、専門医による治療が必要となることがあります。状態により前方、後方、側方のアプローチを使い分け、また術中エコーも併用しより正確な整復を心がけています。
④腱損傷新鮮損傷はもちろん、損傷から時間の経過した陳旧性の腱損傷に対しても積極的に手術を行います。リハビリテーションとの連携により良好な機能回復を目指します。
末梢神経障害
一般に絞扼性神経障害と呼ばれる、末梢神経が周囲組織により圧迫されその支配領域にしびれや痛みを生じる疾患が知られています。手のしびれを生じる手根管症候群や肘部管症候群はその代表です。当院ではレントゲン、MRI、エコーなどの画像検査や神経伝導速度検査、筋電図などを駆使して正確な診断を行い、より適切な治療を目指します。初診時にすでに神経障害が高度で手の筋萎縮が見られるような場合は手術治療の際、腱移行も合わせて行いより日常生活動作の障害を取り除くことを目指しています。

手根管症候群のしびれ、絞扼の部位
上腕骨外側上顆炎(テニス肘)
上腕骨外側上顆に起始する短橈側手根伸筋腱の付着部の炎症です。テニス愛好家に生じやすいので、テニス肘と呼ばれることもあります。物をつかんだ時や、タオルを絞る時に肘関節の外側に疼痛を生じます。ストレッチや外用薬、装具を使用した保存療法で症状が改善しない場合に手術を行います。
当院では関節鏡を使用した手術を積極的に行っています。肘関節外側の疼痛で長年悩んでいる方がいらっしゃいましたら、ご相談いただければと思います。

関節鏡による変性組織の切除
三角線維軟骨複合体損傷
手関節の尺側(小指側)にある三角線維軟骨複合体(TFCC)という組織がスポーツや加齢により損傷し、痛みや関節の不安定性が出る疾患です。装具等の保存的な加療に無効な場合、関節鏡を用いた手術を検討します。手関節の痛みでお悩みの方はご相談ください。
関節リウマチ
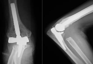
リウマチによる手・肘の変形に対する治療は一般的に難易度が高く、また習熟している施設は限られています。当院ではリウマチ手指や肘に対する人工関節手術を積極的に行い、良好な治療成績を得ています。また比較的若年の方で関節面が保たれている場合は可能な限り関節温存手術を行います。当院の担当医はリウマチ指の人工関節手術、人工肘関節手術、人工関節を用いない手指軟部組織形成術や肘関節形成術の経験も豊富です。人工関節は複数の種類がありますが、患者さんの状態に合わせて使い分けています。肩については、変形性関節症のところでも触れている、近年開発された肩の特殊な人工関節(リバース型)が導入されて以降、良好な成績が得られています。
-
人工手指関節手術前 -
手術後 -
人工肘関節手術後
変形性関節症
非荷重関節である上肢の関節は腰や膝などと異なり変形する頻度は低いですが、高齢化に伴いその頻度は少しずつ増えています。またスポーツやいわゆる肉体労働をされる方においては若年であっても変形することがあります。変形性関節症に対する関節鏡手術、人工関節手術も積極的に行っています。とくに肘の関節鏡手術は手術侵襲が小さい割には患者の満足度は高く、慢性的な肘の痛みでお悩みの方は一度ご相談いただければと思います。肩については、近年開発された肩の特殊な人工関節(リバース型)が導入され、変形性肩関節症の方に施行し良好な成績が得られています。
-
・変形性肘関節症の関節鏡所見
(左:前方鏡視、中:後方鏡視、右:肘関節内遊離体)
赤三角部:軟骨が欠損して骨が露出しています
黄三角部:軟骨が線維化し毛羽立っています -
・変形性肩関節症に対するリバース型人工肩関節(左:術前、右:術後)
-
・変母指CM関節症
母指の基部にあるCM関節に生じる変形性関節症です。加齢や使い過ぎが原因と考えられています。物をつまむ動作、握る動作、瓶のふたを開ける等の動作で、母指基部に疼痛が生じます。装具や消炎鎮痛薬を使用した保存療法で症状が改善しない場合、手術を行います。当院では主に、関節形成術を行っています。母指の疼痛でお困りの際にはご相談いただければと思います。
母指CM関節
デュプイトラン拘縮
デュプイトラン拘縮は手掌部に硬い腫瘤が出現し徐々に指が屈曲しそのまま固まってくる原因不明の疾患です。拘縮が進行する場合治療が必要となります。手術により改善することができます。お困りの方はどうぞ当科へご相談ください。
肩腱板断裂
肩の痛みは外来で遭遇する頻度の高い症状です。多くは肩関節周囲炎(いわゆる四十肩・五十肩)によるものですが、一部には肩関節の周囲に存在する腱板という組織が損傷していることにより痛みが出ている場合があります(腱板断裂または損傷)。加齢性の変化で切れる場合や、外傷性の場合、また肩を使う仕事やスポーツなどにより摩耗して切れる場合があります。保存治療を行なっても痛みが続く場合、関節鏡を用いた腱板の修復術が行われます。

A: 腱板断裂部(上に見えているのが断端。下に上腕骨が見えている(黒丸部)。)
B: 断裂部を鉗子(右上)で牽引している。
C: 特殊な糸を用いて断裂部を上腕骨に縫着した(左側に青と白黒縞模様の糸による結び目が見えている)。