診療概要
膝・股関節
膝・股関節については、竹島憲一郎医師,大谷慎也医師,田中信行医師を中心に関節外科を専門とするメンバーにより治療を行っております。変形性関節症や関節リウマチなどの疾患や、前十字靭帯(ACL)損傷や半月板損傷、大腿骨頸部骨折などの外傷まで幅広く対応しており、必要に応じてグループ病院である国際医療福祉大学三田病院の長島正樹教授と連携を取り、治療にあたっています。いずれの疾患・外傷においても、専門性の高い最新治療を行っております。また、内科的な併存疾患を有する患者様には各診療科と協力して診療にあたっております。対応する疾患・外傷は以下のように多岐にわたっております。

変性疾患
変形性股関節症
大腿骨頭壊死症
変形性膝関節症
大腿骨内側顆骨壊死症
関節リウマチ
タナ障害
鵞足炎 など
外傷
膝前十字・後十字靭帯損傷
膝内側・外側半月板損傷
膝蓋骨脱臼
大腿骨近位部(頸部、転子部)骨折
脛骨高原骨折 など
当院で治療を行っている代表的な足の外科疾患を以下にお示しします。
足の外科
当病院では、主に竹島憲一郎医師が、"足の外科"(足首からつま先までの領域)について、専門性の高い医療を行っております。対応する足の疾患は以下のように多岐にわたっております。中でも、バレエをはじめとするダンサーの足の傷害(障害、外傷)を得意としております。
スポーツ関連疾患
足関節後方インピンジメント症候群(三角骨障害など)
足関節前方インピンジメント症候群
足関節捻挫、慢性足関節外側靭帯損傷
距骨骨軟骨損傷
アキレス腱周囲炎、アキレス腱付着部症、アキレス腱症
腓骨筋腱脱臼
リスフラン靭帯損傷
疲労骨折(Jones骨折、舟状骨疲労骨折) など
変性疾患
外反母趾
変形性足関節症
扁平足(後脛骨筋腱不全症)
強剛母趾
内反小趾
リウマチ足変形 など
外傷疾患
足関節脱臼骨折
アキレス腱断裂
踵骨骨折
リスフラン関節脱臼骨折
距骨骨折 など
その他
足部外傷後変形治癒
足根骨癒合症
有痛性外脛骨
足根管症候群
骨端症(Freiberg病、Köhler病) など
当院で治療を行っている代表的な足の外科疾患を以下にお示しします。
膝・股関節
代表的疾患・手術方法
1) 変形性膝関節症
膝関節は、大腿骨、脛骨、膝蓋骨からなる関節です。関節の表面は軟骨で覆われ、膝関節のスムーズな動きを可能にしています。加齢や外傷などにより軟骨が減少すると、すり減った軟骨の下のむき出しになった骨同士がこすれ合い、炎症が生じ痛みを感じます。

軟骨の減少により膝関節の痛みが生じる疾患を変形性膝関節症と呼びます。本邦における変形性膝関節症の患者数は約1000万人とも言われ、多くの方がお悩みの疾患です。歩行中や階段昇降時の痛みや、正座ができないなどの症状が生じます。
加齢によって減少した軟骨は元に戻すことは出来ませんが、筋力トレーニングやストレッチなどのリハビリ、ヒアルロン酸注射などの薬物療法、サポーターなどの装具療法、体重の減量などの保存療法が一般的に効果的です。保存療法で効果がなく、日常生活動作が著しく制限されている場合に、手術が必要になります。以下に代表的な手術療法である人工膝関節全置換術(TKA)を説明致します。
人工膝関節全置換術(TKA)
人工膝関節置換術とは、すり減った軟骨と痛んだ骨を取り除き、金属やプラスチックでできた人工の関節に置き換える手術です。
痛みの原因を除去できるため、確実な除痛効果が得られます。また、O脚なども矯正できるため、見た目にまっすぐな下肢となります。長期的にも、人工膝関節全置換術施行後、10年で再置換術が必要となる確率は5%以下であり、多くの方が10年後も良好な機能を保ちつつ生活されています。
![]() 手術前 |
![]() 手術後 |
当院では、変形の程度によりますが、筋肉や皮膚への侵襲を可及的に少なくする最小侵襲手術手技(MIS)を採用し、かつ長期的な成績改善を第一優先として正確なインプラント設置を行っております。術直後の痛みは、麻酔科の協力により良好にコントロールされます。リハビリは術翌日より開始し、日常生活の復帰や社会復帰へ向け準備致します。
当院で行っている最小侵襲手術(MIS)
従来、人工膝関節全置換術は、15cm~20cmの皮膚切開を要し、筋肉を切開して関節に達しておりました。近年、手術手技や手術機械の飛躍的な進歩によりMIS手術が導入され、10cm~13cmの皮膚切開で、かつ筋肉を温存して従来と同等の人工膝関節置換術が可能となりました。当院では十分にトレーニングを積んだ専門医が適応を十分に判断した上で、積極的にMIS手術を取り入れております。
最小侵襲手術(MIS)のメリット
最小侵襲手術(MIS)には、以下に挙げられる様な多くのメリットがあります。
①傷が小さい。
②組織侵襲が少ない。
③術後の痛みが少ない。
④精神的なストレスが少ない。
⑤入院期間が短縮できる。
⑥社会復帰が早い。
⑦感染症などの合併症の発生率が低い。など
2) 変形性股関節症
股関節は、大腿骨の骨頭と臼蓋という骨盤のくぼみからなる球関節(ボールと受け皿の関節)です。骨頭が臼蓋にはまり込む構造のため、足を様々な方向へ動かすことができます。関節の表面は軟骨に覆われ、関節のスムーズな動きを可能にしています。
![]() |
加齢性の変化や外傷などにより軟骨が減少すると、すり減った軟骨の下のむき出しになった骨同士がこすれ合い、炎症が生じ痛みを感じます。

すり減った大腿骨頭の軟骨
軟骨の減少により股関節の痛みが生じる疾患を変形性股関節症と呼びます。本邦における変形性股関節症の患者は約500万人とも言われ、多くの方がお悩みの疾患です。歩行中や階段昇降時の痛みや、関節の動かせる範囲が減少し靴下をはきにくい・正座ができないなどの症状を生じます。
加齢によって減少した軟骨は元に戻すことは出来ませんが、筋力トレーニングやストレッチなどのリハビリ、薬物療法、体重の減量などの保存療法が一般的に効果的です。保存療法で効果がなく、日常生活動作が著しく制限されている場合に、手術が必要になります。以下に代表的な手術療法である人工股関節全置換術(TKA)を説明します。
人工股関節全置換術(THA)
人工股関節全置換術とは、すり減った軟骨と痛んだ骨を取り除き、金属やプラスチックでできた人工の関節に置き換える手術です。

痛みの原因を除去できるため、確実な除痛効果が得られます。長期的にも、人工股関節全置換術施行後、10年で再置換術が必要となる確率は5%以下であり、多くの方が10年後も良好な機能を保ちつつ生活されております。
当院では、変形の程度によりますが、最小侵襲手術手技を採用し、かつ長期的な成績改善を第一優先として正確なインプラント設置を行っております。術直後の痛みは、麻酔科の協力により良好にコントロールされます。リハビリは術翌日より開始し、日常生活の復帰や社会復帰へ向け準備致します。主な術後合併症である感染と脱臼の発生率は、一般に約1-2%と5%前後ですが、当院では現在筋肉を切らない手術(MIS)を採用しており、その率は非常に低く抑えられています。
当院で行っている最小侵襲手術(MIS)
従来、人工股関節全置換術は、15cm~20cmの皮膚切開を要し、筋肉を切開して関節に達しておりました。近年、手術手技や手術機械の飛躍的な進歩によりMIS手術が導入され、10cm~12cmの皮膚切開で、かつ筋肉同士の間からアプローチするため筋肉をほぼ切らずに従来と同等の人工股関節置換術が可能となりました。当院では十分にトレーニングを積んだ専門医が適応を十分に判断した上で、積極的にMIS手術を取り入れており、術後早期の回復及び脱臼率の低下などの成果が上がっています。

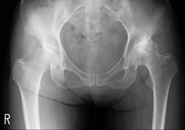
![]() 人工股関節全置換術前のレントゲン |
![]() 人工股関節全置換術後のレントゲン |
3) 前十字靭帯(ACL)損傷
前十字靭帯は、脛骨と大腿骨をつなぐ靱帯で膝のほぼ中央にあり、膝関節の安定性に非常に重要な役割を担っております。

前十字靭帯損傷はスポーツ活動で比較的頻繁に生じる外傷です。外傷により靱帯の機能が消失すると、ひねりの動作での不安定感や、膝崩れを生じやすくなります。膝崩れを繰り返すことにより、半月板や軟骨を損傷するため、将来的に問題を残すことになります。残念ながら、前十字靭帯は手術以外で治ることはほぼありません。10代から30代の方やスポーツ活動を続けたい方、またスポーツをしない方でも日常生活においても膝の不安定感が著しい方は、是非、前十字靱帯再建術をお勧め致します。
関節鏡視下前十字靭帯再建術(ACL再建術)
本手術は内視鏡を用いて行うため、少数の小さい傷で行う事ができます。膝の屈筋腱(半腱様筋腱と薄筋腱)を採取し、解剖学的に正常に近い靱帯再建術を低侵襲な手法で行っております。手術時間は、ほぼ全ての症例において1時間半-2時間程度です。術直後の痛みは、麻酔科の協力により良好にコントロールされます。靱帯再建術後はリハビリが大変重要です。当院では、再断裂防止を念頭におき、スポーツ復帰に向け準備を進めて参ります。

左:損傷した前十字靭帯(黒矢印)右:再建された前十字靭帯(黒矢印)
4) 半月板損傷
半月板は、膝関節の大腿骨と脛骨の間にあるC型をした軟骨様の板で内側・外側にそれぞれがあり、クッションとスタビライザーの役割をはたしています。半月板損傷は、スポーツ外傷や加齢性の変化などにより、幅広い年齢層に生じます。症状は、引っかかり感や関節が曲がらない・伸びないなどの関節可動域制限、しゃがんだ際などの痛みであり、痛みがひどい場合には、夜間寝返りで目が覚めることもあります。半月板は損傷すると治りにくい組織です。保存的治療で症状改善が得られない場合、関節鏡視下の半月板部分切除術や縫合術をお勧めします。

正常な内側半月板(黒矢印)
関節鏡視下半月板部分切除術・縫合術
本手術は内視鏡を用いて行うため、少数の小さい傷で低侵襲に行う事ができます。可及的に縫合し半月板の温存を試みますが、損傷形態によっては部分切除を選択します。リハビリは、術翌日より積極的に行い、スポーツ復帰や社会復帰に向け準備致します。

左:損傷して前方に逸脱した外側半月板(黒矢印)
右:半月板縫合術後(黒矢印)前方に逸脱した外側半月板を整復し縫合した。
足の外科
代表的疾患・手術方法
足関節後方インピンジメント症候群(三角骨障害、長母趾屈筋腱障害)
バレエダンサーや、サッカー選手は足関節を底屈(足首を伸ばす)することが多く、足首の後ろ側を痛める事が多く見られます。
足関節の距骨という骨の後ろ側が大きく突き出していたり、離れて過剰骨となっている人(三角骨といいます)が何度も足関節を底屈すると、その骨が脛骨と踵骨の間に挟まりこみ(インピンジメント)足関節の後方に炎症を起こし、痛みの原因となるのです。
![]() 三角骨(距骨の後ろ側の骨) |
![]() 足首を伸ばす(底屈する)ことで挟まりこむ |
バレエダンサーでは、さらに足関節を底屈したまま母趾も伸ばして立つ、ポアントという状態で踊ることが多く、長母趾屈筋腱(足の親指を曲げる筋肉)を酷使しています。
治療はまず保存療法が選択されます。
炎症を抑えるために ①安静にする ②痛み止めや炎症を抑える注射を行う
などといった治療が選択されます。
当院では、まず十分な診察を行ったうえで、レントゲン、超音波検査、MRIなどの画像診断を組み合わせて痛みの原因となっている部分を判断します。保存療法においては、患者様のフォームなども確認し、痛みの原因となる動きの癖などの修正方法を指導することもあります。
保存療法では痛みが取れない場合には、手術療法が選択されます。手術では主に内視鏡を使用して三角骨の摘出、並びに長母趾屈筋腱の腱鞘の切開を行っています。
内視鏡の手術では腹臥位(うつ伏せ)で行います。アキレス腱の両側に7mm程度の傷をつけるだけで手術を行うことができます。手術中に足関節後方の滑膜炎の程度(痛み具合)や長母趾屈筋腱の障害の程度を評価し、一人一人の状態に合わせたリハビリを行っていきます。平均して10日~2週間程度入院します。退院後も再発しない様に、体の正しい使い方などを指導していきます。
![]() 三角骨による圧迫 |
![]() 長母趾屈筋腱腱鞘を開放した後 |
外反母趾
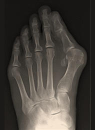
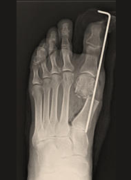
外反母趾とは、足の親指(母趾)が、第2趾の方へ曲がって変形している足の変形です。母趾の付け根の内側の痛みを生じる場合が多く、バニオンと呼ばれる胼胝(たこ)を形成することもあります。親指の症状だけでなく、第2趾や第3趾の足底痛や足の甲の痛みを生じることもあります。靴の調整や足底挿板による治療が基本となりますが、変形の矯正のためには母趾の中足骨を骨切りする手術が必要になる場合があります。
外反母趾の手術法は100種類以上あるといわれていますが、当院では患者さんへの侵襲の少ないDLMO(デルモ)法という第1中足骨遠位骨切り術を行っています。この術式は約2cmの皮膚切開で、第1中足骨を骨頭基部で骨切りしたのち、骨片間を鋼線1本で止めるというシンプルな術式です。この鋼線は手術後1か月で抜去するので、術後に体の中にインプラント(金属)が残らないこともこの術式の特徴といえます。
当院は、DLMO法の第1人者である須田康文医師のもとで研修を積んだ竹島憲一郎医師が執刀を担当しており、多くの患者さんの治療を行っています。
![]() 術前外観写真 |
![]() 術後外観写真 |
![]() 術前 |
![]() 術直後 |
![]() 術後1年 |
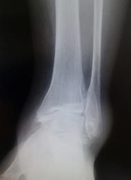
変形性足関節症
変形性足関節症は、足関節の表面に覆われている軟骨がすり減ってしまう疾患です。骨折や繰り返す捻挫など外傷によって起こることが多いと言われています。歩行時に軟骨のすり減っている部分に疼痛が生じます。また病態が進行すると、外観上も足の変形が認められます。
変形の程度が軽い場合は、足底挿板や鎮痛薬内服による治療を行います。痛みが強い場合や変形が強い場合は、主に関節固定術を行います。適応となる患者さんは限られていますが、足関節の可動域を温存するため、脛骨低位骨切り術や人工足関節置換術を行うこともあります。
当院では、膝関節や股関節などの下肢全体のアライメントを含めて、痛みの原因を追究し、手術療法を決めるようにしています。従来は足関節前方を大きく切開して行う方法が行われていましたが、手術後の痛みや傷が大きくなることが問題でした。当院では患者さんへの侵襲を減らすため、皮膚切開を大きく行わない関節鏡視下関節固定術を積極的に導入しています。
![]() 変形性足関節症の 単純レントゲン写真 |
![]() 鏡視下固定術後の手術創(矢印) |
![]() 鏡視下固定術術後 |
慢性足関節外側靭帯損傷
足関節の外側靭帯は、足関節の内返しの捻挫で最も損傷しやすい靭帯です。捻挫に対して適切な治療がなされなかったり、捻挫を繰り返したりすることで、慢性の外側靭帯の機能不全に陥ることが少なくありません。その場合、運動時の足関節の不安定感や疼痛、腫脹を生じます。
まず当院では、リハビリテーションによる回復を望めると判断した場合は、リハビリテーションによる保存的治療を行います。保存的に治療を行っても痛みが残る場合には、外側靱帯の縫縮術等を行っています。外側靱帯損傷に伴った軟骨の損傷を確認し、また手術における組織への侵襲を減らすため、可能な限り関節鏡で縫縮を行っています。損傷がひどい場合には再建術を行うこともあります。
![]() 内反ストレス単純レントゲン写真 |
![]() 関節鏡視下靭帯縫合手術 |
足の疾患は多岐にわたるため、一般診療では足の痛みの原因がなかなか診断されないこともあります。また、靴の調整など少しの工夫で痛みから開放されることもあります。足の痛みで悩んでいる方は是非ご相談ください。丁寧に診察、検査、治療をさせて頂きます。必要に応じてグループ病院である国際医療福祉大学三田病院でも診療に当たっております。受診の希望がある際にはご紹介も致しますので担当医にお申し付けください。
国際医療福祉大学 足の外科外来
国際医療福祉大学成田病院
竹島憲一郎医師 水曜午前,午後
国際医療福祉大学三田病院
竹島憲一郎医師 金曜午後(第1,第3)


















