診療概要
代表的手術
後方椎間板摘出術、顕微鏡下椎間板摘出術、内視鏡下椎間板切除術(MED、FED)
対象となる疾患は、腰椎椎間板ヘルニア、腰部脊柱管狭窄症、腰椎変性すべり症などです。せなかを切開して、椎間板ヘルニアを切除します。内視鏡下に行う場合には、8mm〜2cm程度の切開で小さい筒からカメラを挿入して手術を行います。原則、手術翌日より軟性のコルセットを装着し、起立・歩行を開始します。
-

(左)術前MRI 第4/5腰椎に椎間板ヘルニアを認めます。
(中)内視鏡下(MED)にヘルニアを摘出しました。
(右)術後MRI 第4/5腰椎の椎間板ヘルニアが消失しています。
棘突起縦割式椎弓形成(切除)術
内視鏡下椎弓形成(切除)術、全内視鏡下脊椎手術(FESS)
対象となる疾患は、腰椎椎間板ヘルニア、腰部脊柱管狭窄症、腰椎変性すべり症などです。せなかを切開して、神経の圧迫因子となっている椎弓や黄色靭帯などを切除します。棘突起を縦割する方法と内視鏡下に行う方法があります。いずれも腰の筋肉を温存することを目的とした低侵襲手術です。原則、手術翌日より軟性のコルセットを装着し、起立・歩行を開始します。
-

(左、中)術前のMRIでは特に第4/5椎間で脊柱管の高度な狭窄を認めています。
(右)棘突起縦割式椎弓形成(切除)術を施行し、脊柱管は著明に拡大し神経症状の改善を認めています。
腰椎椎体間固定術(PLIF、TLIF、MIS-TLIF、KLIF、PETLIF)
通常の切開方法と低侵襲な切開方法があります。対象となる疾患は、腰椎椎間板ヘルニア、腰部脊柱管狭窄(症)、腰椎変性すべり症、腰椎変性側弯症、腰椎後弯症、腰椎分離(すべり)症の一部などです。近年、内視鏡や低侵襲手技を用いた椎体間固定術(MIS-TLIF、KLIF、PETLIFなど)が可能となっております。当院では、個々の病態によって術式を判断しております。原則、手術翌日より硬性のコルセットを装着し、起立・歩行を開始します。
-

第4腰椎に前屈時に増強するすべりを認め不安定性を示しています。 -

MIS-TLIF(低侵襲腰椎後方椎体間固定術) 椎間板にケージと言われるスペーサーが挿入され、また経皮的に椎弓根スクリューの挿入とロッドの連結がなされ、第4腰椎のすべりが矯正され固定されています。
側方経路腰椎椎体間固定術(LLIF)
対象となる疾患は、腰椎椎間板ヘルニア、腰部脊柱管狭窄症、腰椎変性すべり症、一部の腰椎分離すべり症、腰椎変性側弯症、腰椎後弯症などです。原則、手術翌日より硬性のコルセットを装着し、起立・歩行を開始します。LLIFは、日本では2013年から承認され実施されており、普及しつつある低侵襲な手術法です。XLIF(エックスリフ)は全国でも限られた医師と医療機関でのみ実施されています。当院では、実施許可を取得した医師により施行され、多くの実績があります。類似した術式にOLIF(オーリフ)などもあります。手術では側腹部に約4cmの傷で手術を実施します。この手技の利点は、関節除圧と言って神経を直接触らないで神経を圧迫から解除できることや、大きな椎間スペーサーを挿入することによる変形の矯正や安定したサポートを得られることです。
-

第4腰椎に著明なすべりを認め、重度の狭窄を認めます。 -

側方経路腰椎椎体間固定術(LLIF) 椎間板に大きなスペーサーが挿入され、また経皮的に椎弓根スクリューの挿入とロッドの連結がなされ、第4腰椎のすべりが矯正され固定されています。
分離部修復術
腰椎分離症に対する手術は主に2つで、分離部修復術と椎体間固定術があります。椎間板の傷みがないもしくはあってもごく軽度か、20歳代までには適応となります。せなかを切開し、瘢痕組織や滑膜組織などの存在する分離部をきれいにして、自家骨(腸骨など)や人工骨などを移植します。移植した骨がしっかりつくように、スクリューやフックなどを用いて、分離部を圧着します。原則、手術翌日より硬性のコルセットを装着し、起立・歩行を開始します。十分に骨癒合が得られれば、後にインプラントを抜去しますが、必ずしも抜去しないこともあります。
-

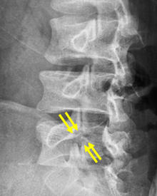
第5腰椎分離症の術前レントゲン。矢印が分離部で骨が離れています。 -

第5腰椎分離症の術後レントゲン。分離部に骨が移植され骨癒合が得られています。
後方矯正固定術
せなかを切開してチタンなどで作られた椎弓根スクリューをせぼねに挿入して、ロッドと呼ばれる金属のバーで固定して、せぼねの矯正と固定を行います。術後に手術部の安静を保つために装具を3-6ヶ月程度着用します。
せなかを切開する場合が多いですが、状態によっては側方経路腰椎椎体間固定術(Lateral Lumbar Interbody Fusion: LIF)や、経皮的椎弓根スクリュー(Percutaneous Pedicle Screw: PPS)をはじめとした体への負担を軽減する手法も取り入れられています。
手術時間は4時間程度で、入院期間はこどもの患者様で2週間程度、大人の患者様では2週間程度で場合によってはリハビリテーション病院へ転院をして頂き、さらにリハビリテーションを行います。
-

こどもの特発性側弯症に対する後方矯正固定術 -

大人の側弯症に対する後方矯正固定術
骨切りを併用した後方矯正固定術
せぼねの変形が大きかったり、再手術の場合には癒合してせぼねの骨切りを行い、再度矯正固定を行う場合があります。5時間前後の長時間の手術となります。入院期間は小児患者様で2週間程度、大人の患者様では3週間程度で場合によってはリハビリテーション病院へ転院をして頂き、さらにリハビリテーションを行います。
-

腰椎固定術後後弯に対する椎体骨切り術を併用した後方矯正固定術
前方矯正固定術
わき腹やおなかを切開してチタンなどで作られた椎体スクリューを背骨に挿入して、ロッドと呼ばれる金属のバーで固定して、せぼねの矯正と固定を行います。術後胸に胸腔ドレーンと呼ばれるドレーンを数日入れる場合があります。手術部の安静を保つために装具を3-6ヶ月程度着用します。
大人の患者様では3週間程度で場合によってはリハビリテーション病院へ転院をして頂き、さらにリハビリテーションを行います。
入院は小児患者様で2週間程度、大人の患者様では2週間程度で場合によってはリハビリテーション病院へ転院をして頂き、さらにリハビリテーションを行います。
-

こどもの特発性硬膜拡張症に伴う後側弯症に対する後方矯正固定術
前方後方矯正固定術
背骨が大きく変形している場合や再手術の際に前方手術と後方手術を両方行って、せぼねの矯正と固定を行います。1日で両方の手術を行う場合と2日間に分けて手術を行う場合があります。大人の患者様では3週間程度で場合によってはリハビリテーション病院へ転院をして頂き、さらにリハビリテーションを行います。
-

成人期遺残特発性側弯症に対する前・後方矯正固定術 -

成人脊柱変形に対するLIFを併用した前方後方矯正固定術
重度脊柱変形に対する矯正固定術
さまざまなお体の病気に伴いせぼねが重度に変形を起こし、息切れなどの症状が出る場合があります。これらの患者様に対しては状況に応じて、せぼねを矯正固定する場合があります。小児科やリハビリテーション科と相談しながら手術時間や入院期間を検討していきます。
-

脊髄性筋萎縮症の重度後側弯症に対する後方矯正固定術
グローイングロッド手術
せぼねの変形が進行して矯正固定術を要すると考えられるが、体がまだ小さなこどものお子様にはせぼねを固定せずに6ヶ月に1度の30分程度の小さな手術を繰り返すことで、せぼねを成長させる手術を選択する場合があります。概ね10歳以下で手術が必要な患者様が対象となります。
-

点状軟骨異形成症に伴う後側弯症に対するグローインロッド手術
椎体形成術(VP、BKP、VBS)
対象となる疾患は、脊椎圧迫骨折や転移性脊椎腫瘍による病的骨折などです。原則、手術翌日より軟性もしくは硬性のコルセットを装着し、起立・歩行を開始します。単独で行うこともありますが、固定術と一緒に行うこともあります。単独で行う場合には、全身麻酔下に約5mmの皮切2ヶ所から細い筒を骨折椎体に挿入し、人工骨やセメントを注入して、骨折を人工的に接合します。
-

BKP (左)細い筒から骨折したせぼねに風船をしぼめた状態で設置して、ゆっくり風船を膨らませます。(中)膨れた風船が骨折した骨を復元します。(右)風船を取り出して空いたスペースにセメントを注入します。 -

VBS後 正面像 -

VBS後 側面像
BKPと同様に細い筒から骨折したせぼねに風船をしぼめた状態で設置して、ゆっくり風船を膨らませます。風船でステントを広げてスペースを作り、風船を取り出してステントとともにセメントを注入します。
椎体形成術(VP、BKP、VBS)および後方・後側方脊椎固定術
対象となる疾患は、脊椎圧迫骨折や転移性脊椎腫瘍による病的骨折などです。椎体形成術でセメントや人工骨を注入して、骨折を人工的に接合します。椎体形成術のみでは固定性が弱い場合や骨脆弱性が強いには、スクリューなどを用いて脊椎を安定化させます。原則、手術翌日より軟性もしくは硬性のコルセットを装着し、起立・歩行を開始します。
-

(左)第12胸椎および第1腰椎の骨粗鬆症性椎体骨折を認めます。(中)MRIでは第1腰椎に大きな骨欠損を認め、骨折が難治性で不安定であることを示しています。(右)第1腰椎に椎体形成術を施行し、さらに骨が脆かったため、頭尾側にスクリューを挿入して固定しています。
最小侵襲脊椎安定術(Minimally Invasive spine Stabilization: MIStミスト)
対象となる疾患は、脊椎圧迫骨折、転移性脊椎腫瘍、化膿性脊椎炎、びまん性特発性骨増殖症などです。従来の切開手術に比べ、身体に対する負担が少なく、また術中・術後の出血量が少なく、輸血率も少ないことが報告されております。原発性の脊椎腫瘍や転移性脊椎腫瘍では、全摘出を行うことで根治的治療が見込めることがあり、後述する腫瘍脊椎骨全摘術(TES)を行うこともあります。
転移性脊椎腫瘍や化膿性脊椎炎に対するミスト手術
ご高齢の方や、転移性脊椎腫瘍や化膿性脊椎炎を発症する方などは、体力や免疫力が低下していたり、糖尿病、心疾患、肝疾患、腎疾患などの併存疾患などにより、大きな手術を受けることが難しいことがあります。体にかかる負担の少ないミスト手術が有用です。
-

腰(左)胸椎に肺癌の転移性腫瘍を認めます。脳転移などもあったため、根治的手術は困難でした。(中、右)経皮的椎弓根スクリューを用いた特殊な方法で、脊椎を安定化しています。 術後、麻痺の改善と疼痛の緩和を認めました。 -

腰の第4番目、5 番目の椎体が感染し、進行性の骨破壊と後弯変形を認めます。経皮的椎弓根スクリューを用いた特殊な方法で、脊椎を安定化しています。 -

(左)術前の進行性の骨破壊が見られましたが、(右)術後1年では良好な骨癒合が得られています。
びまん性特発性骨増殖症、強直性脊椎炎に対するミスト手術
びまん性特発性骨増殖症や、強直性脊椎炎という、せぼねが連続して癒合(くっつく)してしまう病気があります。脊椎が癒合していない部分で狭窄を生じたり、軽微な外傷でも骨折を起こし、脊髄を圧迫して神経障害が出現することがあります。当院では、体にかかる負担の少ない経皮的椎弓根スクリューを用いた特殊な方法で、脊椎を安定化させるミスト手術を積極的に行っております。
-

腰(左)胸椎に肺癌の転移性腫瘍を認めます。脳転移などもあったため、根治的手術は困難でした。(中、右)経皮的椎弓根スクリューを用いた特殊な方法で、脊椎を安定化しています。 術後、麻痺の改善と疼痛の緩和を認めました。 -

連続性に骨が癒合している間に骨が癒合していない部分があり、同部位で狭窄が生じ脊髄が圧迫されています。 -

経皮的椎弓根スクリューを用いたミスト手術で、低侵襲に脊椎を安定化し、神経症状は著明に改善しました。
転移性脊椎腫瘍に対する腫瘍脊椎骨全摘術(Total Enbloc Spondylectomy)
脊椎腫瘍では脊椎骨が原発腫瘍やがんの転移腫瘍に占拠された結果、骨を破壊し脊柱の支持性がなくなり局所の痛みを生じます。さらに、腫瘍が脊髄や馬尾神経を圧迫して痛みや神経麻痺を引き起こします場合もあります。その他、脊髄や神経根の圧迫の症状として歩行障害、病的反射、腱反射亢進、膀胱直腸障害、肋間神経痛(胸部痛、しびれ)などが生じます。腫瘍が胸椎にあれば背中からのみで手術を行い、腰椎にあれば周囲の組織を安全に避けるために脇腹からの手術も追加します。
胸椎の腫瘍の場合
背中の皮膚を切開します。摘出する椎体の頭尾側にスクリューを設置し、ロッドで接続して脊椎を強固に固定します。後方より、肋骨を切除し、椎体前面、側面を剥離して、脊髄をよけながら、腫瘍に侵された椎体を一塊として摘出し、同部位に金属性のメッシュに局所骨あるいは腸骨を設置します。
腰椎の腫瘍の場合
まず、横向きの体位としてわき腹を開腹し(正中から開腹する場合もあります)腫瘍に侵された脊椎周囲を十分に剥離を行います。その後、体位をうつぶせに変えて後方より、脊髄をよけながら、腫瘍に侵された椎体を一塊として摘出し、同部位に金属性のメッシュに局所骨あるいは腸骨を設置します。
十分に洗浄し、出血がたまらないようにドレーンと呼ばれる管を留置し、縫合糸をもちいて筋肉と皮膚を創ごとに縫合します。
-

術前MRI T2像 術前MRI T1像 -

術後 X線 摘出された椎体
頚椎椎弓形成術
対象となる疾患は、頚椎症性脊髄症、頚椎後縦靭帯骨化症、頚椎椎間板ヘルニア、脊椎腫瘍などです。後方から椎弓を開いたり削除したりして、脊髄を後方にシフトさせることで除圧します。頚椎症性神経根症では、障害されている神経根の部分のみ骨を削ることもあります。
片開き式脊柱管拡大術
頚椎椎弓形成術の代表的な手術法に、片開き式脊柱管拡大術があります。ご高齢の方に対しても、安全で安定した成績が報告されている優れた術式です。手術は首の後ろを切開して、椎弓の両側に骨の溝を掘り、扉を開くように脊柱管を拡大します。開いた椎弓は再度閉じないように糸で固定したり、金属性のプレートで固定します。通常、手術翌日より座位や歩行訓練を行います。手術後のカラーは、病態により装着を考慮します。
-

(左)術前のMRIでは、全体的に脊柱管内の狭窄があります。(中)片開き式脊柱管拡大術を施行し、金属性のプレートで椎弓を固定しています。(右)手術により脊柱管が拡大され、神経症状が改善しています。
頚椎前方固定術
対象となる疾患は、頚椎症性脊髄症、頚椎症性神経根症、頚椎後縦靭帯骨化症、頚椎椎間板ヘルニア、脊椎・脊髄腫瘍などです。前方から圧迫因子となっている椎間板や骨を取り除き、代わりに腸骨などの自家骨や人工骨、もしくはスペーサーなどを挿入して、障害部位の可動性を止めることで神経症状の改善が見込まれます。前方からの圧迫因子が大きい場合、不安定性がある場合、後弯と言って骨の並びが後ろに弯曲している場合には有効な手術法となります。近年では、金属製のプレートとスクリューなどで早期離床が可能となっており、通常、手術翌日より座位や歩行訓練を行います。術後は、頚部を固定する装具を約1−3カ月装着します。
-

手術前のMRIでは、第6/7椎間の椎間板が脊柱管へ飛び出し、脊髄を強く圧迫しています。 -

手術により、飛び出した椎間板を前方から摘出し、人工スペーサーと金属製のプレートなどで上下の骨を固定しました。術後、神経症状は著明に改善し、MRIでも脊髄の圧迫が解除されています
後縦靭帯骨化症 骨化巣摘出・浮上術
後縦靭帯骨化症で骨化巣が大きい場合に、有効な術式となります。後縦靭帯骨化症では、骨化巣が神経の膜と連続していることがあり、剥離は困難なことがあります。摘出が困難な場合には、骨化巣を浮上させて神経症状の改善をはかる方法もあります。
頚椎後方除圧固定術
対象となる疾患は、頚椎症性脊髄症、頚椎後縦靭帯骨化症、頚椎椎間板ヘルニア、脊椎腫瘍などです。頚椎後方除圧固定術は、頚椎の後方からアプローチして、圧迫因子となっている骨や靭帯を削除したり、金属製のスクリューなどで頚椎を固定する手術法です。頚椎に不安定性があったり、後弯と言って骨の並びが後ろに弯曲している場合などで有効な手術法となります。通常、手術翌日より座位や歩行訓練を行います。術後は、頚部を固定する装具を約1−3カ月装着します。
-

術前のCTおよびMRIでは、椎体の後ろにある骨化した後縦靭帯が脊柱管内に大きく占拠し、脊髄を強く圧迫しています。 -

前方から椎体切除および骨化巣の浮上術を行い、代わりに金属製のケージを設置しました。非常に高度な狭窄であったため、後方からも除圧を追加し、頚椎のカーブを維持するためにスクリューとロッドによる固定を行いました。術後、神経症状は著明に改善しています。
頚椎人工椎間板置換術
頚椎人工椎間板置換術は、平成29年に本邦で承認された比較的新しい手術方法です。従来の前方除圧固定術では、罹患椎間での神経圧迫を取り除き、障害部位の可動性を止めることで神経症状の改善が見込まれます。一方で、椎間本来の可動性が失われるデメリットもありました。人工椎間板では、この運動機能を温存できるメリットがあります。国外では10年以上前からおこなわれており、その安定した長期成績が報告されています。手術後は原則コルセットの装着は必要ありません。
-

頚椎人工椎間板置換術のX線写真 -

頚椎人工椎間板 (ジンマーバイオメット社製・Mobi-C®)
脊髄腫瘍摘出術
対象となる疾患は、脊髄や神経もしくは周囲にできた腫瘍、あるいは血管奇形などです。大きさや腫瘍の種類にもよりますが、基本的に放置すると増大して脊髄の圧迫は進行するので摘出術を考慮します。直接神経組織を触る手術になりますので、術後は多かれ少なかれ神経のダメージによる手足の麻痺が出ますが、当院では神経のダメージを最小限に抑えるため、最新の顕微鏡や特殊なモニタリング装置を用いて手術を行っています。
-

左から脊髄髄外腫瘍、脊髄髄内腫瘍、馬尾腫瘍のMRI画像です。
先天性斜傾、遺残例に対する胸鎖乳頭筋腱切術
出生後まもなく首が傾いてしまう先天性斜傾という疾患があります。日本では乳幼児検診でほとんどが診断されていますが、まれに成人期まで放置されたり、一部の国々などでは適切な診療が受けられないこともあります。先天性斜傾の多くは1-2歳頃までに自然治癒しますが、斜傾が改善しない場合は手術治療を考慮します。当院では、学童期や成人期においても適応に応じて胸鎖乳頭筋腱切術を施行し、良好な結果を得ています。
その他
当院では、それぞれの患者様の病態を詳細に把握するため、診察・画像所見のみならず、アンケート調査も施行しています。これらを総合的に評価し、患者様の病態に合った最良と思われる治療法を選択しています。詳細は外来主治医にお尋ねください。